7 โรคแปลกประหลาดน่าขนลุก ที่จะทำให้คุณรู้สึกยินใจที่ไม่ได้ป่วยเป็นโรคเหล่านี้
ในโลกนี้มีโรคแปลกประหลาดเกิดขึ
1. มนุษย์ต้นไม้ เป็นโรคผิวหนังที่ถ่ายทอดทางพั
2. การฝังตัวของตัวอ่อนแมลงวัน ซึ่งมักจะเกิดขึ้นในออสเตรเลีย นิวซีแลนด์ แอฟริกา และอเมริกา ซึ่งหลังจากที่ตัวอ่อนฟักตัวมั
3. โรคผิดปกติทางผิวหนัง เป็นโรคที่ถ่ายทอดทางพันธุ
4. หนอนฝังตัวอยู่ในเหงื
5. กล้ามเนื้อบวม จะมีอาการเจ็บเล็กน้อยถึงรุนแรง ปวด อักเสบ ซึ่งมักจะเกิดขึ้นกับคนวัยชราที
6. Macrodactyly โรคมือใหญ่หรือส่วนใดส่วนหนึ่
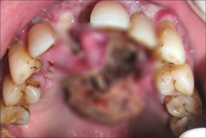
7. Noma โรคมะเร็งช่องปากซึ่งหลังจากเกิ
ข้อมูลและภาพประกอบจาก "wittyfeed"
หนังเพียงเรื่องเดียวในไทย ที่ทำรายได้สูงกว่า 600 ล้านบาท
ต้นไม้ที่ให้ร่มเงามากที่สุด 5 อันดับ
ไม่ใช่กรุงเทพ? เปิดชื่อ “จังหวัดค่าครองชีพสูงสุดในไทย” ที่หลายคนคาดไม่ถึง
ห้างของคนไทยในประเทศจีน ที่มีขนาดพื้นที่กว้างใหญ่มากที่สุด
คณะหมอลำที่โด่งดังที่สุด ประสบความสำเร็จมากที่สุดในไทย
ประเทศหรือเขตปกครองที่ครองแชมป์ "เดินเยอะที่สุด"
ประเทศที่ชอบเล่นหวยมากเป็นที่ 1
3 นายก ที่มีอิทธิพลที่สุดในไทย
การใช้ชีวิตแปลกๆ พฤติกรรมแปลกๆ คนไทยยุคใหม่
จังหวัดที่ “ร้อนที่สุดในไทย” อุณหภูมิพุ่งจนคนอยู่ไม่ไหว
5 ประเทศที่มี Soft Power ดึงดูดใจคนทั่วโลก ไทยถูกจัดอยู่ลำดับที่เท่าไหร่
5 อาชีพในไทย ที่ เงินเดือนเริ่มต้นสูง แบบงง ๆ บางงานเด็กจบใหม่ก็แตะ 30K+
4 จังหวัดที่มีการใช้น้ำมันมากที่สุดในประเทศไทย
นกหายากที่พบได้ที่เดียวบนโลก ในพื้นที่จังหวัดสระบุรีของไทย
ต้นไม้ที่ให้ร่มเงามากที่สุด 5 อันดับ
3 นายก ที่มีอิทธิพลที่สุดในไทย
5 ประเทศที่มี Soft Power ดึงดูดใจคนทั่วโลก ไทยถูกจัดอยู่ลำดับที่เท่าไหร่






